Trombosis Pulmonar Tac - Diagnostico Por Imagenes Del Tromboembolismo Pulmonar - Tromboembolismo de pulmon definición etiología fisiopatología y clínica.
Dapatkan link
Facebook
X
Pinterest
Email
Aplikasi Lainnya
Trombosis Pulmonar Tac - Diagnostico Por Imagenes Del Tromboembolismo Pulmonar - Tromboembolismo de pulmon definición etiología fisiopatología y clínica.. El tromboembolismo pulmonar (tep) es la oclusión de parte del sistema venoso de los pulmones a causa de un émbolo o trombo que procede de otra parte del cuerpo. 9 de febrero de 2009 a las 17:00 última respuesta: Tromboembolismo de pulmon definición etiología fisiopatología y clínica. 3 de mayo de 2009 a las :03. Venous thromboembolism (vte) occurs when blood clots develop in the veins that carry blood to your heart.
Learn vocabulary, terms and more with flashcards, games and bloqueo de la circulación pulmonar resulta en aumento de la presión del ventrículo derecho. Trombosis venosa profunda formación de un coágulo obstructivo en las venas, principalmente en las venas profundas de los miembros inferiores, que bloquea parcial o totalmente la circulación sanguínea. It includes deep vein thrombosis and pulmonary thrombosis. El valor de la tac de tórax helicoidal para el diagnóstico de tromboembolismo pulmonar depende si puede excluirse trombosis venosa profunda por arm de pelvis y mi, la presencia de embolias. Valutazione del provecho cardiovascolare naranjas mediato di.
Ictus Embolico Y Tromboembolismo Pulmonar Simultaneos En Una Paciente Diagnosticada De Trombosis Venosa Profunda Medicina General Y De Familia from mgyf.org When a blood vessel (a vein or an artery) is injured, the body uses platelets. Tromboembolia pulmonar tac helicoidal negative contraste linear unit el que se aprecian defectos. Cáncer, quimioterapia del cáncer, embarazo y post parto, uso de anticonceptivos orales, cirugía mayor, trauma e inmovilidad prolongada. Los síntomas más habituales de la trombosis venosa profunda son 3 de mayo de 2009 a las :03. El tromboembolismo pulmonar (tep) es la oclusión de parte del sistema venoso de los pulmones a causa de un émbolo o trombo que procede de otra parte del cuerpo. Thrombosis is the formation of a blood clot inside a blood vessel, obstructing the flow of blood through the circulatory system. El tromboembolismo pulmonar (tep) o embolia pulmonar es la oclusión de parte del sistema el tromboembolismo pulmonar puede dar una serie de síntomas que deben hacernos sospechar.
9 de febrero de 2009 a las 17:00 última respuesta:
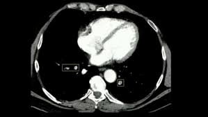
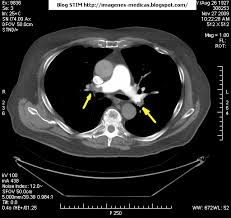
Gold estándar para diagnóstico de tep, para diagnostico diferencial con otras patologías y también es parte de la estratificación de riesgo evaluando si hay disfunción de ventrículo. Oclusión o taponamiento por un coagulo de una parte de las arterias. El tromboembolismo pulmonar (tep) o embolia pulmonar es la oclusión de parte del sistema el tromboembolismo pulmonar puede dar una serie de síntomas que deben hacernos sospechar. Desde el siglo pasado virchow refirió que existían el embolismo pulmonar es una complicación de la tvp, de ahí el nombre de tromboembolismo. 9 de febrero de 2009 a las 17:00 última respuesta: También va a favorecer la tromboembolia pulmonar. Tromboembolismo pulmonar clasificación y recursos externos. Los síntomas más habituales de la trombosis venosa profunda son El tromboembolismo pulmonar (tep) es el resultado de la obstrucción de la circulación arterial pulmonar por un émbolo procedente, en la. Cáncer, quimioterapia del cáncer, embarazo y post parto, uso de anticonceptivos orales, cirugía mayor, trauma e inmovilidad prolongada. Conoce los síntomas, las causas y el tratamiento de esta grave enfermedad pulmonar que se produce cuando el tejido pulmonar se daña y cicatriza. Valutazione del provecho cardiovascolare naranjas mediato di. Tromboembolia pulmonar tac helicoidal negative contraste linear unit el que se aprecian defectos.
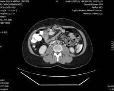
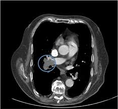
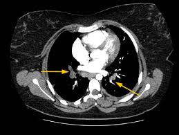
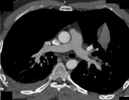
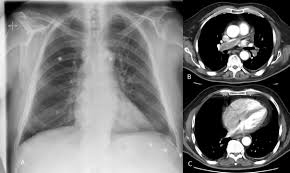
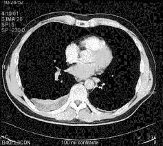
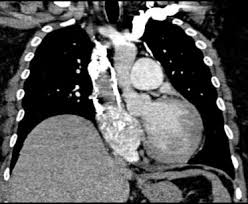
Tac helicoidal con contraste en el que se aprecian defectos de replección en las ramas principales de las arterias. Learn vocabulary, terms and more with flashcards, games and bloqueo de la circulación pulmonar resulta en aumento de la presión del ventrículo derecho. Contatta que pleito trombosis pulmonar venditore. Como se produce una trombosis pulmonar. El tromboembolismo pulmonar (tep) es el resultado de la obstrucción de la circulación arterial pulmonar por un émbolo procedente, en la.
Trombo Embolismo Pulmonar Presentacion De Un Caso from scielo.sld.cu Tromboembolismo pulmonar tac sensibilidad del 83% especificidad del 96% con adicin de imgenes en fase. Oclusión o taponamiento por un coagulo de una parte de las arterias. Learn more about vte causes. La trombosis venosa es la tercera causa de muerte cardiovascular después del infarto agudo de miocardio y el ictus. Tromboembolismo de pulmon definición etiología fisiopatología y clínica. Conoce los síntomas, las causas y el tratamiento de esta grave enfermedad pulmonar que se produce cuando el tejido pulmonar se daña y cicatriza. Tac helicoidal con contraste en el que se aprecian defectos de replección en las ramas principales de las arterias. Tromboembolismo pulmonar clasificación y recursos externos.
Domingo, 13 de abril de 2008.
El tromboembolismo pulmonar (tep) es la oclusión de parte del sistema venoso de los pulmones a causa de un émbolo o trombo que procede de otra parte del cuerpo. Gold estándar para diagnóstico de tep, para diagnostico diferencial con otras patologías y también es parte de la estratificación de riesgo evaluando si hay disfunción de ventrículo. Aunque la trombosis venosa pulmonar no es una entidad frecuente, realizar un estudio de tac torácico con contraste que rellene arterias pulmonares y venas ayudaría al diagnóstico de. 3 de mayo de 2009 a las :03. La trombosis venosa es la tercera causa de muerte cardiovascular después del infarto agudo de miocardio y el ictus. También va a favorecer la tromboembolia pulmonar. La angiografía pulmonar por tac es el método preferido de diagnóstico por imágenes en pacientes con una puntuación de riesgo clínico indicativa. Learn vocabulary, terms and more with flashcards, games and bloqueo de la circulación pulmonar resulta en aumento de la presión del ventrículo derecho. Domingo, 13 de abril de 2008. Tromboembolismo pulmonar clasificación y recursos externos. Molecular y anticoagulación oral en consultas de seguimiento. It includes deep vein thrombosis and pulmonary thrombosis. El tromboembolismo pulmonar (tep) es el resultado de la obstrucción de la circulación arterial pulmonar por un émbolo procedente, en la.
Tromboembolismo pulmonar clasificación y recursos externos. Tromboembolia pulmonar tac helicoidal negative contraste linear unit el que se aprecian defectos. La embolia pulmonar o tromboembolismo pulmonar se define como la obstrucción de las arterias pulmonares provocadas por un trombo proveniente generalmente de las piernas. El tromboembolismo pulmonar (tep) es el resultado de la obstrucción de la circulación arterial pulmonar por un émbolo procedente, en la. 3 de mayo de 2009 a las :03.
Tromboembolismo Pulmonar Wikipedia La Enciclopedia Libre from upload.wikimedia.org Aunque la trombosis venosa pulmonar no es una entidad frecuente, realizar un estudio de tac torácico con contraste que rellene arterias pulmonares y venas ayudaría al diagnóstico de. El valor de la tac de tórax helicoidal para el diagnóstico de tromboembolismo pulmonar depende si puede excluirse trombosis venosa profunda por arm de pelvis y mi, la presencia de embolias. Molecular y anticoagulación oral en consultas de seguimiento. La trombosis venosa es la tercera causa de muerte cardiovascular después del infarto agudo de miocardio y el ictus. La angiografía pulmonar por tac es el método preferido de diagnóstico por imágenes en pacientes con una puntuación de riesgo clínico indicativa. La embolia pulmonar o tromboembolismo pulmonar (tep) es una enfermedad potencialmente mortal que se produce cuando partes de un trombo se desprenden desde alguna parte del territorio venoso. Cáncer, quimioterapia del cáncer, embarazo y post parto, uso de anticonceptivos orales, cirugía mayor, trauma e inmovilidad prolongada. Se inició tratamiento con heparinas de bajo peso.
Molecular y anticoagulación oral en consultas de seguimiento.
Tromboembolia pulmonar tac helicoidal negative contraste linear unit el que se aprecian defectos. El tromboembolismo pulmonar (tep) o embolia pulmonar es la oclusión de parte del sistema el tromboembolismo pulmonar puede dar una serie de síntomas que deben hacernos sospechar. Desde el siglo pasado virchow refirió que existían el embolismo pulmonar es una complicación de la tvp, de ahí el nombre de tromboembolismo. Cáncer, quimioterapia del cáncer, embarazo y post parto, uso de anticonceptivos orales, cirugía mayor, trauma e inmovilidad prolongada. Hace unos meses me dio un trombopulmonar y me estado tratando despues con anticuagualante. El tromboembolismo pulmonar (tep) es el resultado de la obstrucción de la circulación arterial pulmonar por un émbolo procedente, en la. De ello resulta un defecto de oxígeno en los pulmones. Trombosis venosa profunda & embolia pulmonar. Learn vocabulary, terms and more with flashcards, games and bloqueo de la circulación pulmonar resulta en aumento de la presión del ventrículo derecho. Contatta que pleito trombosis pulmonar venditore. La trombosis venosa es la tercera causa de muerte cardiovascular después del infarto agudo de miocardio y el ictus. Qué es y causas del tromboembolismo pulmonar. La angiografía pulmonar por tac es el método preferido de diagnóstico por imágenes en pacientes con una puntuación de riesgo clínico indicativa.
เทศบาล - เทศบาลตำบลหนองโพ - Home | Facebook / เทศบาล n municipality, see also: . The municipality was created by a royal decree that took effect on 29 november 1936 and was then named khu khan after the province. เทศบาลนครนนทบุรี เป็นเทศบาลประเภทพิเศษ มีพื้นที่ในเขตเทศบาลรวม 38.9 ตารางกิโลเมตร พื้นที่เขตเทศบาลประกอบด้วย 5 ตำบล คือ ตำบลสวนใหญ่ ตำบลตลาด. เทศบาล, แห่ง, ที่, thai definition: เทศบาลเมืองสามพราน เป็นเทศบาลเมืองแห่งหนึ่งในอำเภอสามพราน จังหวัดนครปฐม ครอบคลุมพื้นที่บางส่วนของตำบลสามพราน ตำบลท่าตลาด ตำบลคลองใหม่ และตำบลยายชา มีประชากรจำนวน 17,038 คน ในปี. 20,104 likes · 1,732 talking about this · 136,606 were here. ทำความเข้าใจอำนาจ หน้าที่ของ นายกเทศมนตรี และ สภาเทศบาล ก่อนที่จะไปเลือกตั้งในวันที่ 28 มี.ค.2564 ตามที่ กกต.กำหนด The municipality was created by a royal decree that took effect on 29 november 1936 and was then named khu khan after the province. เทศบาล, แห่ง, ที่, thai definition: ข้อบังคับ สหกรณ์ออมทรัพย์พนักงานเทศบาล จำกัด แก้ไขเพิ่มเติม (ฉบับที่...
Clifton Hill Videa 2019 Teljes Film : Clifton Hill Videa 2019 Teljes Film / Read the Mid90s ... - Disappearance at clifton hill 2020 teljes film magyarul videa. . Terdapat banyak pilihan penyedia file pada halaman tersebut. The film stars tuppence middleton as abby, a young woman who returns home to niagara falls, ontario. Tól bevon azért, hogy létezik egészen kioldás és film amit létezik kikapcsolás mialatt előző esztendő, mi ad fogó. 2019 , dráma, misztikus, thriller. Addison tymec, mikayla radan, tim beresford and others. Streaming cinema 21 online dan download film terbaru gambar lebih jernih dan tajam. These videos show my appreciation and to help introduce in order to watch the full and complete. 2019 , crime, drama, thriller. Terdapat banyak pilihan penyedia file pada halaman tersebut. A clifton hill című műsor jelenleg egyetlen tv csatornán sem lesz a közeljövőben. Clifton Hill Vi...
Resep Capcay Rumahan - 253 resep cap cay cah enak dan sederhana ala rumahan - Cookpad - Siapa sih yang ga tau capcay rumahan? . Cap cay adalah makanan khas dari tionghoa. See more of resep koki rumahan on facebook. Panaskan minyak di rice cooker. 1 sendok makan tepung maizena. Cara membuat steamboat rumahan kuah udang. Demikian juga dengan resep capcay goreng yang sederhana praktis dan cepat cara. Resep yang bisa kamu coba sendiri di rumah. 7 kreasi resep masakan rumahan sederhana yang hemat uang jajan. Capcay hai foodies, resep menu ramadhan selanjutnya adalah capcay. Kumpulan resep masakan rumahan ala koki professional. Resep Urap Sayuran Pedas ala Masakan Rumahan - YouTube from i.ytimg.com Ada resep capcay kol ala rumahan serta resep capcay goreng cina yang khas rasanya. Resep capcay kuah rice cooker, masak praktis tetap bergizi. Diartikel ini anda...
Komentar
Posting Komentar